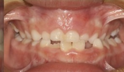
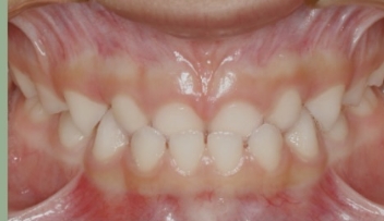
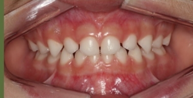
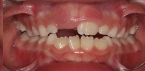
Do que se trata?
O tratamento que tem como objetivo tratar a má-oclusão através de recursos terapêuticos (aparelhos removíveis) que utilizam estímulos funcionais precocemente através de orientação mastigatória, desgaste seletivo, acréscimo às superfícies dentárias.

